
脑实质内出血(intraparenchymalhaemorrhage,IPH)是指脑实质内的非创伤性出血。IPH占所有脑血管疾病的15%。
基底区脑出血几乎总是与高血压有关。
脑叶或皮层下出血,有时可归因于高血压,但更常见的原因是动脉瘤破裂,动静脉畸形破裂或其他以异常血管化为特征的病理过程(包括肿瘤)。
在IPH的情况下,CT扫描很重要,因为它可以区分原发性出血与缺血性形式,而这仅凭临床数据无法确定。
此外,CT检查还可以提供有关部位,外观,大小和演变的准确信息。

深部出血包括在圆的内部(圆的界定:上方为胼胝体,侧面为外囊,下方为脑干)。
浅表实质内出血在此边界外发展。
所谓的“进展”出血起源于基底节区,并通过邻近的白质扩散,穿过该周围边界。

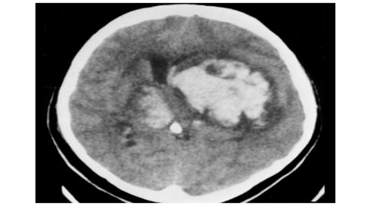
液平面的存在并不罕见(血液在倾斜面处分层)。上图示大的壳核血肿,表现为深部的较新的致密的成分,而其外侧浅表的血肿,以清晰的液-液平面为特征(箭)。下图示一接受抗凝治疗的心脏病发作患者,不规则且广泛分布的多灶性实质内出血中,也可以观察到液-液平面(箭)。

CT示小脑血肿,近中线。无需手术切除(因为它不会引起后颅窝变窄)。一周后MR检查,冠状T1WI示小脑高信号灶,在亚急性期MR可以更好地记录血红蛋白分解产物。尤其在后颅窝周围,无CT伪影的影响。

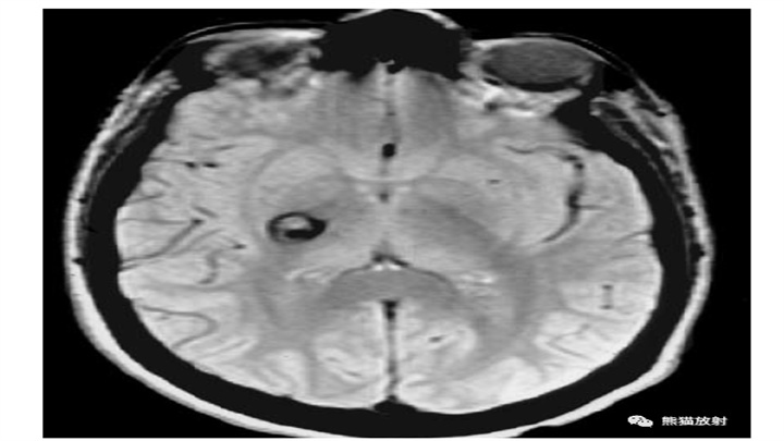
由海绵状血管瘤破裂引起的IPH。22岁女性,内囊后肢局部出血性病变。MR可见含铁血黄素低信号环,证明其与海绵状血管瘤破裂有关。

慢性酒精中毒患者,大量脑实质出血,脑内不规则的高密度灶,和周围脑白质内广泛液化表现交替出现。伴随脑萎缩,病变有一定占位效应。

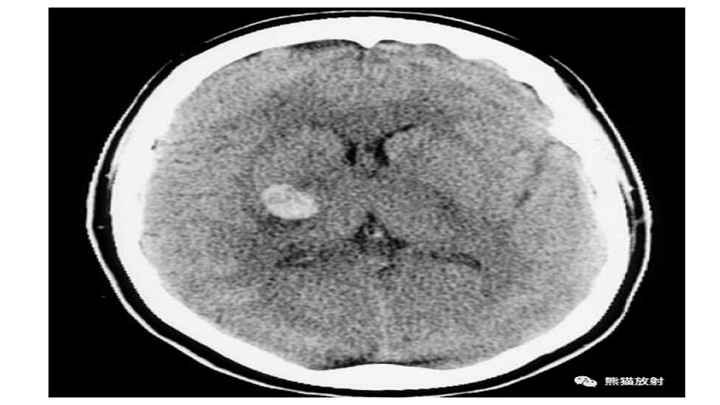
丘脑血肿,范围有限,保守治疗即可。对侧顶叶低密度楔形病变,陈旧性脑梗死。血肿占位效应明显(第三脑室变形)和脑室内积血,具有致命的后果。

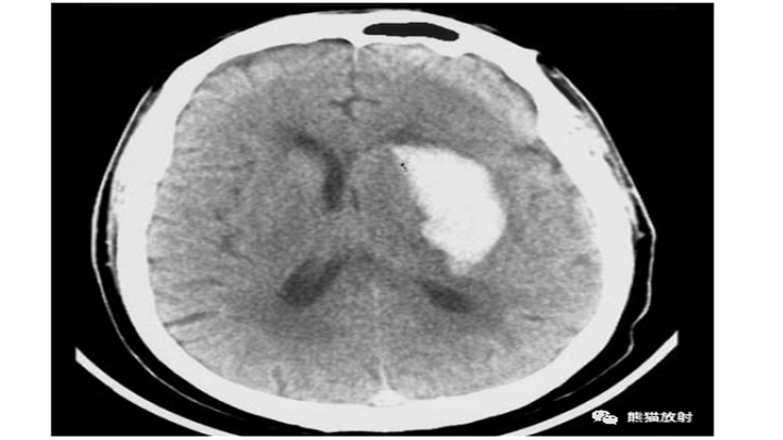
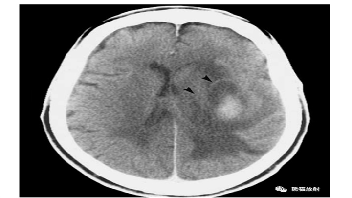
基底节区血肿,壳核消失(可与对侧比较观察),周围可见片状低密度区。在几天的时间里,血肿外围低密度区会逐渐增大。水肿部分因为血管的浆液性渗出从出血灶向外延伸至白质,部分是由于周围神经组织对血块的水肿反应。

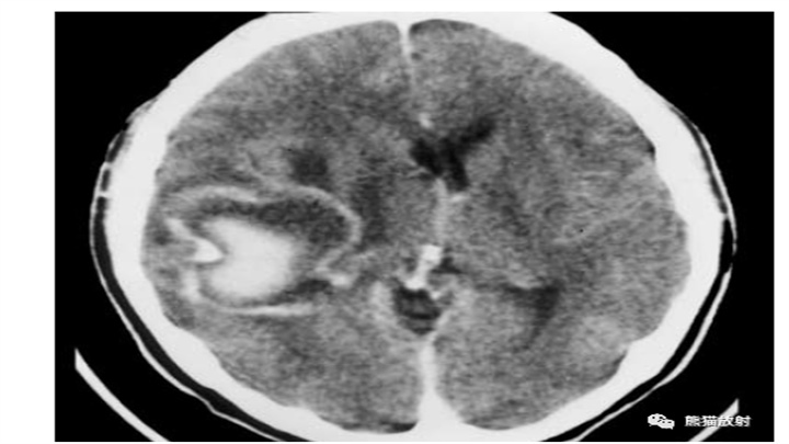
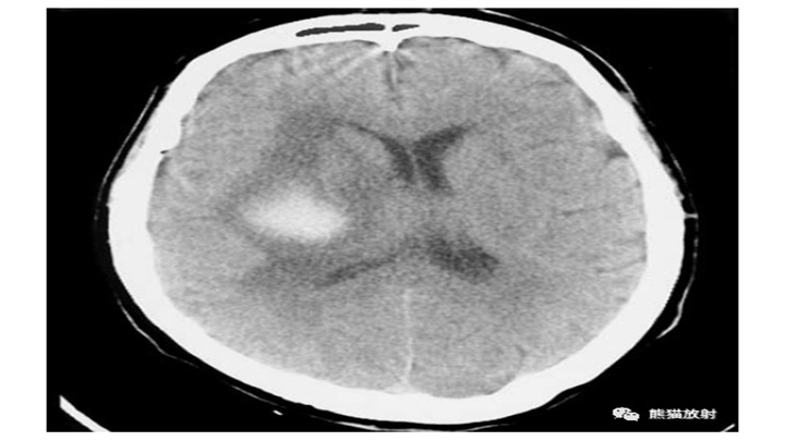
壳核血肿扩散到外囊(2例)。沿前后方向呈典型的细长形。

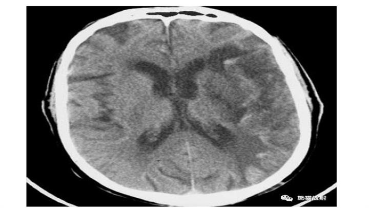
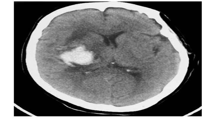
壳核血肿,扩散至内囊及半卵圆中心。

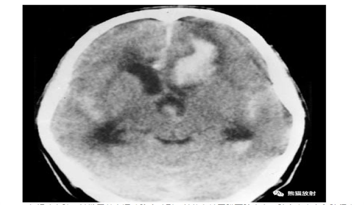
大量脑出血,累及左丘脑和基底节。明显的占位效应(中线结构向对侧明显移位)和脑室积血(同侧脑室变扁,右侧枕角积血)。然而,像往常一样,腹周水肿的数量仅限于周围边界。患者在数小时后死亡。

颞顶枕交界处脑内血肿

左额叶血肿,继发于前交通动脉瘤破裂,并伴有蛛网膜下腔出血,脑室内充血和脑积水。

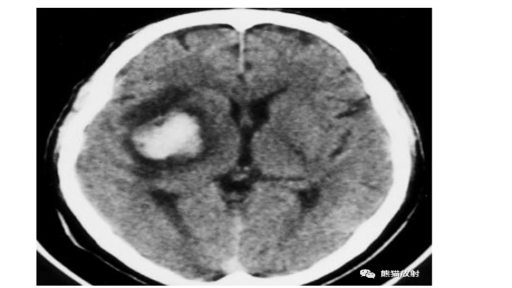
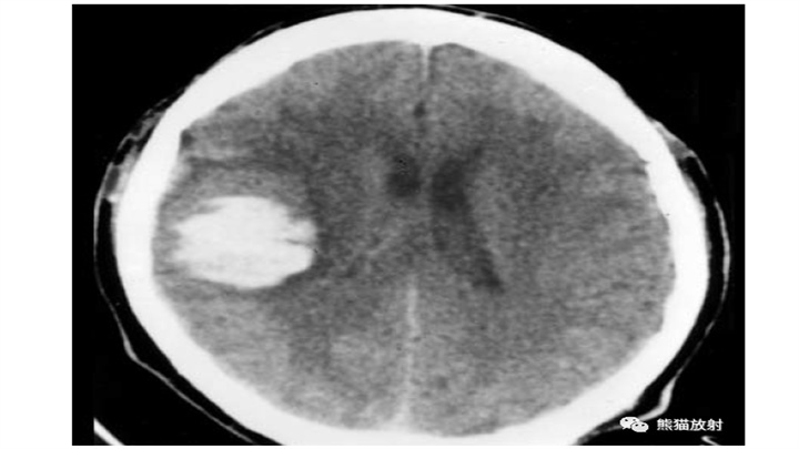
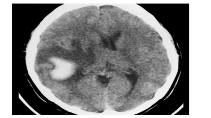
右顶叶血肿,高血压患者的自发性脑出血。

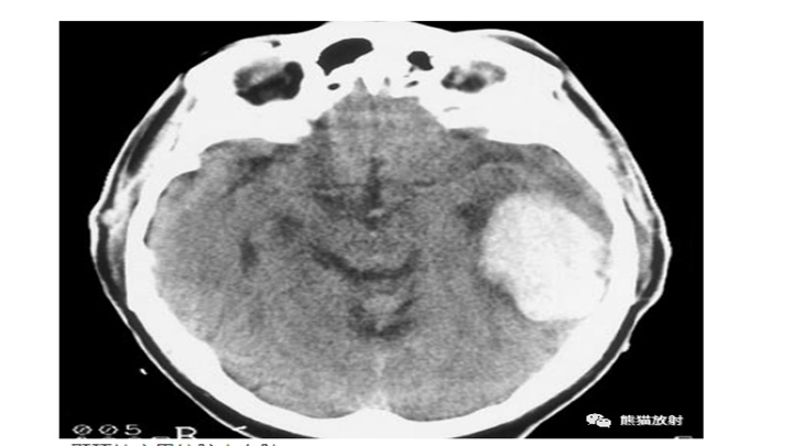
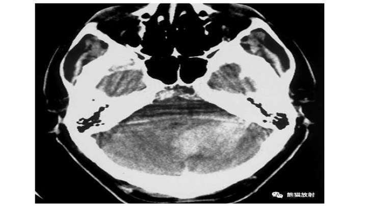
左侧小脑半球血肿。第四脑室变形、移位。

8岁女孩突然昏迷。小脑IPH伴蛛网膜下腔出血,脑干缺血性密度减低,脑积水(侧脑室颞角扩大)。小脑蚓部是“隐性血管瘤”最常见的部位之一。

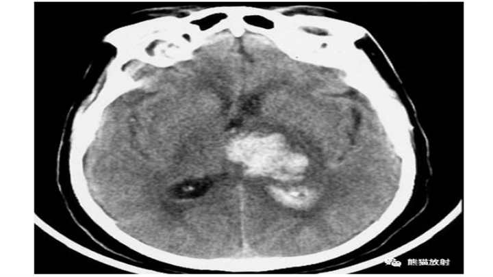
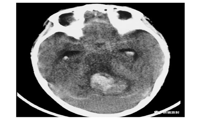
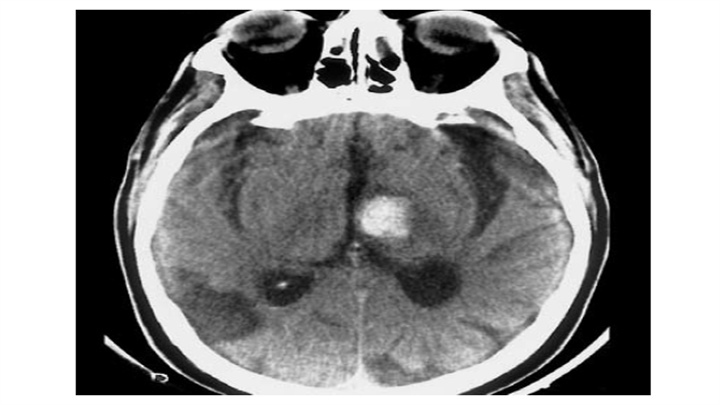
脑干血肿,向上播散至丘脑。

IPH随时间的演变。CT通常用于IPH随访中。上图为脑血肿患者在中风后数小时内的CT,注意病灶位置深,锯齿状边缘和小卫星灶的存在;中间图为14天后的CT,血肿体积缩小,密度减低,而周围水肿加重。下图为三个月后CT,病变被不规则低密度腔所取代,负占位效应,同侧侧脑室轻微扩张。

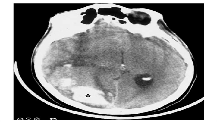
非典型位置的右枕叶自发性血肿。不同时期出血并存,可见液液平面,增强扫描未见异常强化灶。

亚急性期血肿。中风后25天,血肿表现为靶状,中心更高密度边界模糊,增强扫描外周薄环样明显强化,提示为血供丰富的肉芽组织。

类固醇对外围环的影响。在发作后的第17天,IPH的中心密度降低,大量的局灶性水肿和离散效应。可的松治疗后,外围环不完全且模糊(箭头)。

亚急性期血肿。大约两周以来,患者颅内高压症状持续恶化,左侧逐渐偏瘫。临床怀疑肿瘤。CT显示脑内血肿,不典型的部位(症状不典型);周围脑白质大量水肿,并具有明显占位效应。增强扫描表现强烈提示出血(经后续检查证实)。周围可见强化的不规则环,细且规则。该患者尚未接受类固醇的治疗。

出血性脑梗死:左侧大脑中动脉供血区大片状脑梗死,起病四天后,临床状况出乎意料的恶化,CT示不规则的环形或脑回样较高密度,提示重叠出血现象。

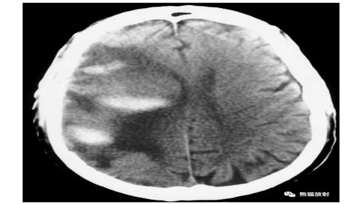
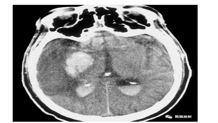
双侧多发脑内出血(2例)。第1例为深部脑白质血肿,左侧为著,密度不均。第2例为乳腺癌多发脑转移合并出血,主要位于灰白质交界处。

脑梗死、脑出血。CT在梗死和出血之间的鉴别诊断,右侧是广泛的梗死性病变(低密度)的后遗症,其影响大脑中动脉的区域,紧邻其内缘见类圆形的近期脑出血灶(高密度),其深度扩展到基底节区。

CT在手术后随访中也有效。a图示左侧壳核血肿,体积大,累及皮层、侧脑室,b图示3d后手术切除了血肿,术区见大片低密度区和小气泡,脑室内出血成分未改变。c图示10d天后存在残留的不规则的深部低密度区,d图示一个月后CT增强扫描示病变被明显强化的薄环样肉芽组织所包围。e图示接下来的一周引流术后,腔被排空,导管尖端清晰可见,脑室内可见积气。
以上文章来源于熊猫放射
