
静脉内平滑肌瘤病(IVL)是一种罕见的良性平滑肌肿瘤,以平滑肌细胞沿静脉生长为特征,可延伸至下腔静脉和心脏,对女性健康的影响不容小觑。该病因症状隐匿、影像学表现不特异,诊断易延误;目前手术是改善预后的主要治疗手段。本文中,中山大学附属第一医院姚书忠教授系统讲解了IVL的概述、临床表现、诊断及手术治疗要点。
静脉内平滑肌瘤病(IVL)是一种罕见的平滑肌良性肿瘤。该病的肿瘤多位于子宫肌层或宫旁静脉内,可沿着子宫静脉向子宫外延伸,进入盆腔静脉丛,并随静脉回流路径漂浮生长,经髂内静脉或卵巢静脉进入下腔静脉,向上延伸至右心房,极少数患者甚至可延伸至肺动脉,呈现出“从髂内静脉或卵巢静脉逐渐延伸至右心房”的生长特点。
从形态学特征来看,IVL表现为良性的平滑肌细胞沿着静脉管腔生长,可同时向子宫内和子宫外的静脉系统内蔓延,形成瘤栓并延伸至心脏。
根据WHO分类,IVL应归类为平滑肌瘤组织出现生长结构异常的一种良性疾病。其发病机制主要包括:①平滑肌瘤细胞直接侵入肌层静脉;②血管壁的平滑肌细胞异常增殖。
1、症状

2、体征
▪宫体:子宫增大、质硬伴结节感;
▪宫腔:肿物自宫口脱出至阴道;
▪宫颈:形态不规则突起。
3、警惕高危指征(出现以下情况应高度警惕IVL)
▪有子宫肌瘤病史或子宫肌瘤手术史;
▪病变累及宫旁、阔韧带或子宫峡部;
▪下腔静脉内或右心房内出现肿瘤;
▪有心悸、发作性晕厥、右心衰竭等症状。
影像学检查有助于IVL的判断,以及评估肿瘤的大小、范围和程度。盆腔内病变的肿物局限于子宫内或盆腔静脉内,表现多样但缺乏特异性,影像学特征不明显,术前很难作出明确诊断,且易误诊为其他盆腔实性肿瘤。
(一)影像学检查
1、超声波检查

盆腔超声:往往显示子宫明显增大、形状不规则、多个肌瘤结节,宫旁血流信号丰富,盆腔静脉往往显示不清。

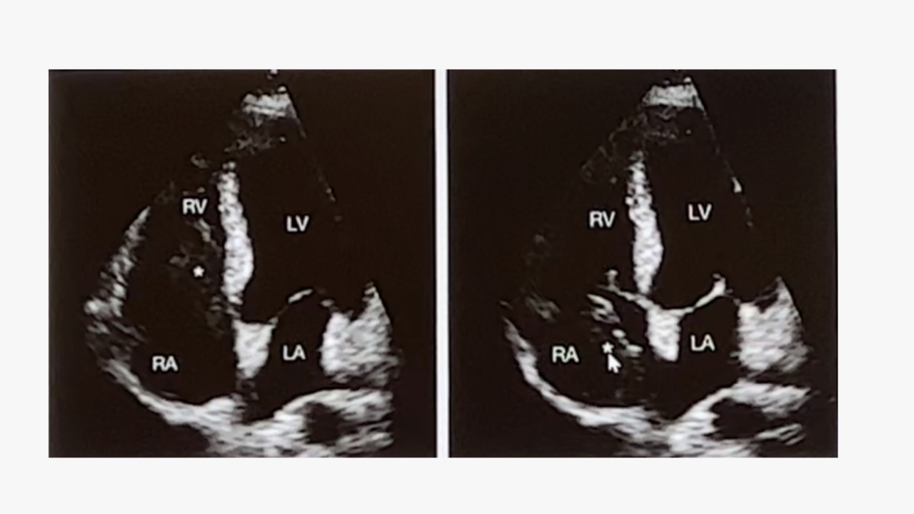
心脏超声:超声心动图检查时常发现右心房实性肿块,该肿块可随心脏收缩进入右心室,且与下腔静脉管壁无粘连。

术中经食道超声:可见右心房及右心室肿物,显示瘤栓延及右心房及右心室。

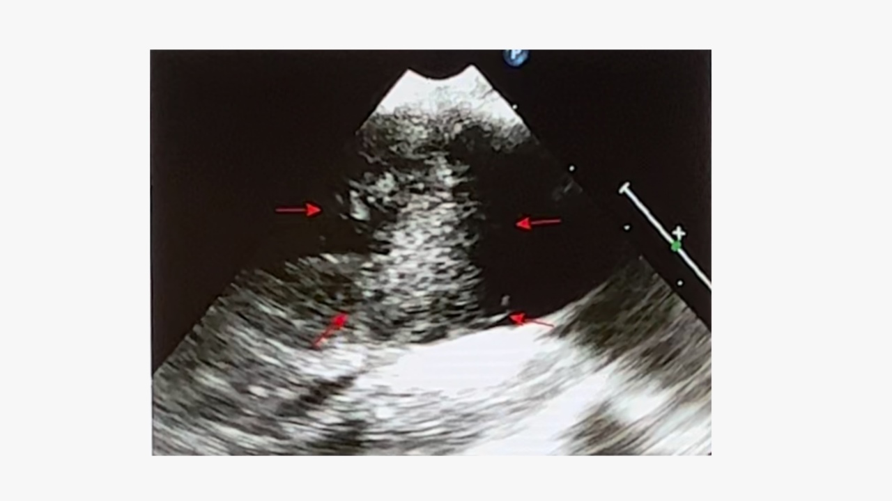
下腔静脉超声波检查:提示下腔静脉内实性结节,与血管壁无粘连。
2、MRI检查

MRI可显示左侧宫旁血管明显扩张,管腔内存在充盈缺损,有助于定位血管内病变。
3、CT检查

盆腔CT:显示子宫右侧有造影剂强化的结节,盆腔肿物由于血管丰富呈明显不规则强化,可推挤膀胱向右前方移位。

CTA:显示静脉内平滑肌瘤起源于左侧宫旁,沿着左侧髂内静脉、髂总静脉、下腔静脉一直延伸到右心房。
(二)手术中判断
术中可见肿瘤位于宫旁组织、阔韧带或子宫峡部。若病灶延伸至阔韧带,宫旁静脉内可见瘤栓。
子宫肌层静脉内或宫旁血管内可见特征性表现:宫旁静脉明显增粗;管腔内存在蠕虫样肿瘤栓子或串珠状肿物。
(三)病理诊断
大体病理:子宫肌层静脉及宫旁静脉内可见瘤栓,呈蠕虫样、条索样,质地柔软,容易与血管壁分离剥出。
镜下特征:静脉内可见平滑肌瘤瘤栓,瘤栓表面有血管内皮细胞覆盖,肿瘤细胞无异型性。
手术是IVL最有效的治疗手段。手术时应彻底切除盆腔原发病灶,抽出静脉内及心腔内瘤栓,强调一次手术彻底切除病灶。
1、盆腔病灶切除
IVLs常常侵犯盆腔静脉丛,多个盆腔静脉都有可能受累,但主要是沿着宫旁静脉-子宫深静脉-髂内静脉走行。在结扎血管之前应仔细检查并取出瘤栓,以免遗漏而导致术后复发。而切除或结扎患侧髂内静脉有助于彻底切除病灶,并防止复发的IVL再次进入下腔静脉或心脏。
2、静脉及心腔内瘤栓取出
位于下腔静脉或心脏内的平滑肌瘤瘤栓往往处于游离状态,与静脉璧不发生粘连,因此,可以一次抽出,根据瘤栓尾端的直径及瘤栓的形状,可以采用不同部位的切开取出瘤栓。具体建议如下:

从心房取瘤栓时远心端瘤栓的处理:在右卵巢静脉与下腔静脉会合处切开下腔静脉,切断平滑肌瘤栓,断端用普蒂凝线缝合固定,以免栓子被血流冲走,缝合下腔静脉壁防止出血。或者在髂内外静脉会合处切断髂内静脉及瘤栓,断端用普蒂凝线缝合固定,以免栓子被血流冲走,缝合髂内静脉壁防止出血。
静脉内平滑肌瘤病主要累及宫旁血管,并沿髂内静脉(卵巢静脉)-髂总静脉-下腔静脉-右心房漂浮下生长,严重者可进入右心房及肺动脉,瘤栓与静脉璧一般不粘连。手术彻底切除盆腔内病变,抽出下腔静脉甚至心腔内瘤栓是本病的唯一治疗方法。多学科合作往往可以一次完成所有病灶的切除。

主任医师,博士生导师。中山大学附属第一医院妇科主任,中山大学名医。
学术任职:中国医师协会妇产科分会常务委员,中国医师学会妇产科医师分会妇科微创技术专业委员会副主任委员、中国医师协会妇产科分会子宫内膜异位症专业委员会副主任委员、中国研究型医院学会妇产科分会副主任委员、广东省医学会妇产科学分会主任委员、广东省医学会妇科内窥镜学组组长、中国妇科与产科杂志常务编委、实用妇产科杂志编委。
[声明:本网站所有内容,凡未注明来源为“转载”,版权均归巢内网所有,未经授权,任何媒体、网站或个人不得转载,否则将追究法律责任,授权转载时须注明“来源:巢内网”。本网注明来源为其他媒体的内容为转载,转载仅作观点分享,版权归原作者所有,如有侵犯版权,请及时联系我们]
