
编者按
卵巢癌晚期阴道断端复发临床较常见,因此卵巢癌治疗后续规则随访特别重要。今天我分享一例首都医科大学附属北京世纪坛医院白文佩教授团队带来的病例,该病例为卵巢癌晚期阴道断端多次复发,通过个体化治疗方案以及MDT团队协作后预后效果较好。因各地医院诊疗水平不同,本病例仅做参考。
病人信息:女性,45岁(发病年龄);
既往史:高血压、1997年因“右侧输卵管妊娠”行“右侧输卵管切除术”;
家族史、个人史:无特殊;
月经婚育史:初潮13岁,适龄结婚,妊1产0。
发病经过:
2014.09初次发病,行初次肿瘤细胞减灭术;
2017.02第一次复发PFI24个月;
2018.05第二次复发,PFI9个月;
2019.04第三次复发,PFI7个月;
2020.06第四次复发,PFI6个月;
2021.10第五次复发,PFI10个月。
1、病史介绍
患者主诉因“下腹痛伴排便困难1月“于2014-9-10初次就诊于我院。
现病史:1月前无明显诱因出现下腹痛,为下腹部隐痛,左侧稍重,休息后不缓解,夜间可疼醒。同时伴排便困难,屏气用力时腹痛加重。自觉尿痛,尿频,无尿急。
持续约3-4天,2014-08-23就诊于我院门诊B超提示左附件区囊实性混合回声6.3x3.3cm,考虑左卵巢占位性病变,予完善相关化验检查。
2014-08-25回报CA-125:2668.8OUiml,CA-153:834.8U/ml。上腹部CT提示肝右叶占位。
2、体格检查
妇科检查
外阴:已婚式;
阴道:通畅,少量白色分泌物;
宫颈:光滑,常大,举痛及揺摆痛阴性;
宫体:前位,正常大小,活动,触痛(+);
附件:左附件可触及一直径约5-6cm包块,不活动,触痛;右附件区增厚,触痛。
查体:
生命体征平稳,神志清,心肺听诊未见明显异常,腹软,下腹部微隆起,轻压痛,无反跳痛及肌紧张,移动性浊音阴性。
3、辅助检查
三大常规、凝血功能、肝肾功能、心电图、胸片:未见异常;
生殖激素六项:雌二醇小于20pg/ml;孕酮0.03ng/m;睾酮0.29ng/m;促卵泡生成素(57.36mlU/ml;促黄体生成素20.97mlU/m;
催乳素:12.87ng/ml。
胃肠镜:慢性浅表性胃炎、乙状结肠息肉。
肿瘤标记物:CA-1251456.7U/m。
乳腺超声:双侧乳腺增生。
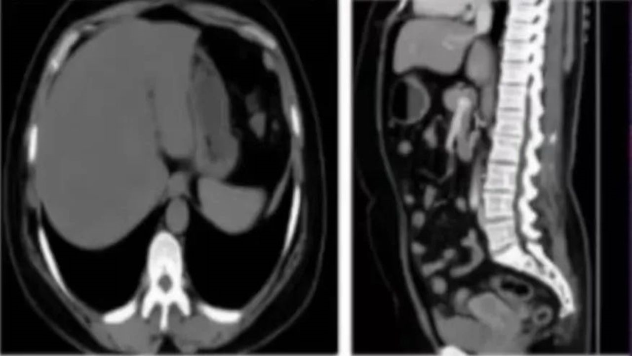
上腹部CT:肝右叶可见片状低密度影,边界不清,大小约10.x6.9cm,其后方肝被膜下可见一大小约2.2x1.7cm类圆形强化程度较低结节突出于局部肝轮廓之外。
下腹部CT:腹膜后未见肿大淋巴结影。
盆腔CT:左侧附件区见一大小约4.3x3.6cm囊实性团块,边界清楚,其后方见一大小约3.6x2.0cm类圆形实性团块,其右侧见一直径约1.3cm类圆形结节,部分层面与直肠、乙状结肠分界不清。盆腔内见水样密度影,部分似包裹。

4、治疗-初始肿瘤细胞减灭术
术前进行了充分的讨论与评估,也进行了MDT,并请外科医生上台协助手术。
于2014-9-18行经腹全子宫切除+左附件切除+右卵巢切除+盆腔淋巴结切除+主动脉旁淋巴结切除+左结肠壁表面肿瘤切除术)+右肝后叶切除+肝脏小转移灶行微波消融治疗。
术中情况:腹腔内见少量淡血性腹水约300ml,腹膜增厚,大网膜可见多发性质硬结节,最大约5cmx4cmx2cm。右肝后叶巨大转移肿瘤,与右肾上极脂肪囊粘连浸润明显,右肝膈面可见小转移灶,肝门旁亦可及小转移灶。盆胞壁内可见多发肿瘤组织;子宫正常大小,粘连固定,子宫前壁与膀胱前壁粘连、固定,可见肿瘤组织,直肠窝内肿瘤组织封闭;右输卵管缺如,右卵巢约3x4cm,表面可见外生乳头样肿瘤结节,左侧卵巢约6x7cm,与子宫左侧壁粘连包块,表面可见菜花样糟脆组织:乙状结肠与侧腹壁之间可见5x4x3cm大小肿瘤结节,表面破溃。
手术过程顺利,手术达RO。
术后病理
全子宫:子宫体浆膜面可见多灶浆液性癌结节,大小0.2x0.2x0.1cm-1x1x0.6cm;双侧宫旁可见肿瘤组织。
左附件:符合卵巢高级别浆液性癌,癌周纤维包裹(+),淋巴浆细胞浸润(+),脉管瘤栓(±),神经侵犯(-);癌组织广泛分布于卵巢表面及实质,并累及输卵管系膜区、输卵管浆膜面及伞端。
右卵巢:高级别浆液性瘤,脉管瘤栓(±)神经侵犯(-)。
盆腔及腹主动脉旁淋巴结:右腹股沟深淋巴结,余未见异常。
左结肠壁表面肿物:高级别浆液性瘤,可见肿瘤局部侵及血管壁。
右肝后叶:符合高级别浆液性癌肝转移,癌周纤维包裹(+),淋巴、浆细胞浸润(+),脉管瘤栓(+),神经侵犯(-)。
术后诊断:卵巢高级别浆液性癌IV期G3级
5、术后治疗
术后使用TC方案化疗7次,紫杉醇175mg/m2,卡铂按AUC计算为5。
6、初治后随访
2015年6月至2017年2月随访:每3-6个月复查全部腹部CT+盆腔增强MRI、妇科检查均未见异常。

2017年2月复查盆腔增强MRI:
卵巢恶性占位术后,阴道残端偏右侧可见一结节样稍长T1稍长T2异常信号,边界清,直径约1.2cm。

1、第一次复发后治疗
卵巢癌治疗的三驾马车:初始治疗手术达到RO,TC方案化疗、维持治疗。
患者初次化疗结束后大于6个月处于铂敏感期、病灶孤立可以完整切除、无腹水、病人全身状态好可耐受手术,可行二次减瘤术,但患者因恐惧手术而拒绝,后续治疗方案为TC方案化疗。
2、第一次复发治疗后随访
第一次复发第6次化疗后复查盆腔增强MRI提示阴道残端病灶消失。达到完全完全缓解。
2017年8月至2018年5月规律随访,肿瘤标记物在2018年5月3号开始上升。

3、辅助检查
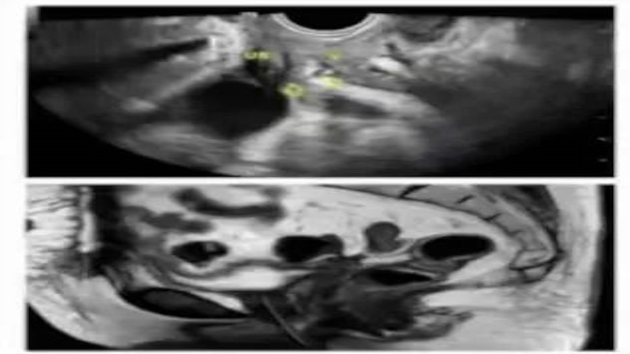
2018-05-5复查阴道超声:阴道残端可见一等回声,大小约1.2x1.2cm,考虑复发可能。
2018-05-9行阴道赘生物活检术,病理示:纤维素凝血及结缔组织内可见高级别浆液性癌浸润。
1、第二次复发后治疗
患者依然拒绝手术,治疗方案为使用TC方案化疗7次。

2、第二次复发治疗后随访
第二次复发第3次化疗后复查盆腔增强MRI提示阴道残端病灶小时。达完全缓解。
2018年8月至2019年4月规律随访。2019-94-28肿瘤标记物升高。

3、辅助检查
2019年4月复查阴道超声:阴道残端大小约1.4x1.2cm等回声,考虑阴道残端病灶复发。
PET-CT诊断意见:
卵巢癌肿瘤细胞减灭术后、右半肝切除术、化疗后,阴道残满肿瘤复发化疗后。
(1)阴道残端(偏右侧)代谢异常增高灶,考虑肿瘤复发;
(2)肝右叶代谢异常增高灶,考虑转移;
肝右叶被膜区条形代谢增高,考虑为转移可能大,与邻近右侧增粗的肾上腺分界不清;
肝右叶近膈顶低密度灶,代谢未见增高,考虑皮性病变(囊肿)可能性大;
(3)左侧膈下(与膈肌关系密切)、肝门区右腹部肠系膜上及盆腔双侧髂血管旁多发转移灶;
(4)右心膈角代谢略增高微小结节,不除外转移可能。
1、第三次复发后治疗
同样进行了TC方案化疗6次。

2、第三次复发治疗后随访
第三次复发第3次化疗复查阴道超声提示阴道残端病灶消失。复查上腹部CT提示肝脏未见明显异常。完全缓解。
2019年12月至2020年6月规律随访。

3、辅助检查
2020-8-7
上腹部增强核磁检查示:腹腔及腹膜后多发淋巴结,较前增多、增大。
下腹部增强核磁示:回盲区异常对比增强,考虑腹膜转移并累及相邻肠管。
盆腔增强核磁检查:阴道残端可见新发数个稍长T2信号结节,大小约1.6x2.2x2.9cm,考虑阴道残端肿瘤复发,伴腹膜及双侧髂血管旁淋巴结多发转移。

1、第四次复发治疗
患者依然处于铂敏感期,TC方案化疗+抗血管生成药物治疗。第一次化疗后肿瘤标记物降至正常。

2、第四次复发治疗后随访
第四次复发,第4次化疗后复查阴道超声提示阴道残端上方可见一无回声,大小约0.9x0.7cm,包裹性积液可能,部分缓解。
患者基因检测提示BRCA2阳性,自2020-12-14口服奥拉帕利300mgbid。
2020年12月至2021年10月全面随访。

3、辅助检查
2012-10超声造影提示盆腔占位病变超声影像学表现(倾向恶性,考虑CA复发)。
2021-10-16盆腔核磁提示:阴道残端偏右侧见一小类圆形长T1稍长T2信号,大小约1.3x1.0x1.0cm。
2021-11-08就诊于我院门诊,阴道镜下行宫颈活检提示(阴道残端右)腺癌,结合病史,倾向于女性生殖系统来源。免疫组化标记Pax8(+)。

PET-CT2021-11-1
卵巢癌肿瘤细胞减灭术后,肝右后叶切除术后,化疗后:
(1)阴道中段左侧代谢异常增高灶,较前新发,考虑为转移瘤可能性大;阴道残端(片右侧)代谢增高灶,考虑为肿瘤复发化疗后改变。
(2)肝右叶代谢异常增高灶。范围较前缩小,考虑为转移瘤化疗后改变;肝右叶被膜区条形代谢轻度增高灶,较前相仿,考虑为术后改变可能建议随诊观察;肝右叶近脑顶低密度灶,代谢未见增高,考虑微波消融治疗术后改变可能性大。
(3)原右下腹部肠系膜转移灶,此次检查范围较前明显减小代谢减低,考虑为转移瘤治疗改变:右腹部圆肠肠壁突起,代谢增高,考虑为小肠憩室可能:右侧结肠旁沟多个小结节,代谢未见增高,倾向良性病变可能,原左侧膈下代谢增高结节此次检查未见显示;肝门区及盆腔双侧髂血管旁多个淋巴结,部分代谢活性较前减低,考虑为转移瘤化疗后改变可能。
(4)右心微小结节。代谢未见增高,较前相仿。

1、再评估
患者初次化疗结束后大于6个月处于铂敏感期、病灶孤立可以完整切除、无腹水、病人全身状态好可耐受手术,可行二次减瘤术,患者同意手术。
2、二次减瘤术
2021-12-20膀胱镜下输尿管支架置入术+肿瘤细胞减灭术(肠系膜肿瘤切除术+回盲部切除术+阴道残端肿物切除术)+腹腔热灌注化疗术(艾素120mg和顺铂120mg)+肠粘连松解术。
术中见:盆腹腔内未见明显积液。阴道残端可及一3x2cm大小肿物,切除肿物后送冰冻病理提示:(阴道残端病灶)纤维结缔组织内见癌浸润,肿瘤侵犯周围肌组织。(阴道后壁切缘)未见癌。(阴道前壁切缘)未见癌。回盲部肠系膜处可见一2x2cm肿物,切除肿物后送冰冻病理提示:(回肠末端表面肿瘤基底)纤维组织内可见肿瘤组织,呈电灼后改变。
术后病理
(阴道后壁切缘)镜检为纤维组织,未见癌。
(阴道前壁切缘)镜检为纤维组织和少许鳞状上皮黏膜,未见癌。
(阴道残端病灶)镜检纤维组织内见低分化癌浸润。免疫组化:Pax8(+)WI-1(+)CA125(+)P16(+)。
(回肠末端表面肿瘤基底)纤维组织内可见肿瘤组织,呈电灼后改变。
(回肠末端系膜系肿物)纤维脂肪组织内见高级别浆液性癌浸润。
(阴道前壁)被覆复层鳞状上皮之黏膜组织慢性炎,未见癌。
(回盲部)小肠黏膜慢性炎,肠壁浆膜下与肌层可见高级别浆液性癌浸润;盲肠黏膜慢性炎。小肠切缘与盲肠切缘未见癌,肠周淋巴结未见转移癌(0/6)。
免疫组化结果(A1):CK7(+),CK20(-),Pax8(+)。CA125(+),ER(-),PR(-),P16(弥漫+)。WT-1(+),P53(错义突变型),K-67(85%+),MLH1(+)。MSH2(+),MSH6(+),PMS2(+),PD-1(UMAB199)(同质内淋巴细胞散在+)。CD31(血管+),VEGF(-)。NTRK(-),DPC4(+),BRG1(+),CA72.4(-)。CD56(部分+),Syn(-)。
3、第五次复发后治疗
继续应用TC方案化疗+抗血管生成药物治疗。化疗两次后,患者拒绝静脉化疗,继续口服奥拉帕利。

4、膀胱阴道瘘???
4.1症状及诊疗经过
患者2022-02-23(上次手术时间2021-12-20)拔除双侧输尿管支架,腹痛症状缓解,出现漏尿症状,主要表现为白天行走、运动后尿液不自主排出,夜间不自主漏尿。2周前就诊于泌尿外科门诊,予以口服酒石酸拉特罗定片,自诉白天症状缓解,夜间症状仍未改善,收入泌尿外科。
4.2辅助检查
泌尿外科专科查体:双肾区无隆起,左肾区叩击痛(+)右肾区叩击痛(-),左侧沿输尿管走行区轻度压痛及叩击痛,右侧沿输尿管走行区无压痛及叩击痛。耻骨上膀胱区未触及包块,膀胱区叩诊鼓音。肛门外生殖器未见异常,肛门括约肌张力正常。
三大常规、凝血、肝肾功能、心电图、胸片、肿瘤标记物:未见异常。
2022-4
上腹部CT:肝右叶部分切除术后及射频消融术后改变:
1.脂肪肝;2.腹膜后淋巴结;3.胆囊术后缺如?4.脾大。
下腹部CT:双侧肾上腺结节样增生可能,回盲部改变,术后?回盲部旁多发小淋巴结,部分较前增大。
盆腔增强CT:
1.卵巢癌治疗后状态,考虑符合膀胱阴道瘘:阴道残端偏右侧轻度强化小片状影大致同前,膀胱后壁增厚;2.尿道周围囊性病变。
盆腔增强MRI:膀胱阴道瘘尿道周围小囊性病变,较前缩小,卵巢癌多次术后。

2022-4PET-CT
(1)阴道残端上部与膀胱后壁分界不清,脂肪间隙消失,阴道残端上部两个结节样代谢增高灶(与尿液放射性相近),符合膀胱阴道痿表现;原阴道残端(偏右侧)代谢增高灶术后,此次未见显示;阴道中部结节样代谢增高灶。较前代谢减低,不除外转移瘤治疗后改变,建议密切观察。
(2)肝右叶代谢异常增高灶,范围较前稍增大,代谢稍增高,考虑转移瘤;肝右叶被膜区条形代谢增高灶,大致同前,考虑为术后改变可能,建议随诊观察;肝右叶近隔顶低密度灶,代谢未见增高,大致同前,考虑微波消融治疗术后改变可能性大。
(3)肝门区淋巴结,代谢稍增高,大致同前,考虑转移瘤化疗后改变可能。

4.3由泌尿外科主持进行了MDT:
妇科
根据患者既往病史、治疗史,对化疗及靶向治疗较敏感,预期寿命相对可观。现患者明确存在膀胱-阴道瘘,且瘘口位置正处于术前阴道残端病灶位置,两侧切缘阴性,具有手术修补膀胱-阴道瘘指征。
整形外科
患者膀胱-阴道瘘诊断明确,考虑局部组织条件较差,修补难度较高,术后可能有修补失败或再发瘘口可能。术中可考虑采用自身组织如阴道前壁、小阴唇或缝合肌肉肌膜覆盖修补后瘘口。
影像科
应进一步完善经阴道超声检查以明确目前阴道残端及阴道中段壁外肿物存在可能。
腹膜肿瘤外科
既往卵巢癌治疗较成功,进一步完善经阴道超声,判断阴道残端及阴道中段壁外肿物存在及盆腔内其他病变可能,若无明显异常,可行膀胱-阴道接修补术。
4.4手术视频
2022-04-07膀胱阴道瘘修补术+经尿道膀胱镜输尿管支架植入术。
术中见:查见瘘口位于阴道残端腹侧,约2.0*1.5cm大小,创缘局部粘膜水肿伴炎性增生,扪及质软、弹性正常。
4.5患者术后情况
患者术后6天出院,尿培养未见异常,阴道未再出现漏尿。
患者于2022-05-07静脉全麻下行经尿道膀胱镜下双侧输尿管支架管取出术,手术过程顺利,术中完整顺利拔出双侧输尿管支架管,术后患者安返病房,小便自解顺利。
1.患者初治诊断为卵巢高级别浆液性癌IV期,行标准一线治疗方案(初次减瘤术+化疗)。达临床完全缓解(CR)。
2.第二次复发是卵巢癌的常态,在PFI24个月出现铂敏感复发(孤立病灶复发)继续给予含铂化疗,达临床完全缓解(CR)。
3.第三次复发,在PFI9个月出现肿瘤标记物升高,影像学检查发现阴道残端再次复发,继续给予含铂化疗,达临床完全缓解(CR)。
4第四次复发,阴道残端再次复发,同时淋巴结出现转移,继续给予含铂化疗,达临床部分缓解(PR)。基因筛查示BRCA2突变,给予奥拉帕利维持治疗。
5.第五次复发,PFS达6个月,复发(孤立病灶复发)行二次减瘤术,达到RO水平,术后继续给予含铂化疗,达临床完全缓解(CR)。
6.术后出现膀胱阴道瘘,需明确诊断、多科联合、精准止瘘、谨慎细致。
专家点评
首都医科大学附属北京世纪坛医院白文佩
我们梳理一下卵巢癌患者的病例,45岁的女性,第一次就诊的时候,就被诊断为卵巢癌的IV期,肝实质转移,第三级。在这样的情形之下,首先进行了达到RO的手术,R0手术包括肝脏的部分切除及肝脏小的转移病灶的术中射频消融,手术达到R0后也为患者后续良好的预后奠定了好的基础。
该患者的病情进展就像教科书、指南描述的一样,一次次地复发,一次次的化疗和手术,在这个过程当中我们体会到规律的复查和明确合适的治疗方案选择的重要性,比如说选择化疗还是手术,包括最近一次和外科合作进行的手术,发现并非是一个复发,而是瘘,患者手术的体位是取俯卧位,而且是头低臀高位,泌尿外科对于阴道前壁的1.5-2cm的瘘进行的手术还是比较好的。我们排除复发转移的情况下决定进行手术治疗,预后非常好。
[声明:本网站所有内容,凡未注明来源为“转载”,版权均归巢内网所有,未经授权,任何媒体、网站或个人不得转载,否则将追究法律责任,授权转载时须注明“来源:巢内网”。本网注明来源为其他媒体的内容为转载,转载仅作观点分享,版权归原作者所有,如有侵犯版权,请及时联系我们]
