
脑梗死又称缺血性卒中,中医称之为卒中或中风。本病系由各种原因所致的局部脑组织区域血液供应障碍,导致脑组织缺血缺氧性病变坏死,进而产生临床上对应的神经功能缺失表现。脑梗死根据病变范围可以分为轻度、中度及重度。
轻度:病变位于前循环或后循环,直径小于1.5cm。中度:病变位于大脑前动脉(ACA)、大脑中动脉(MCA)皮质支或深支、或病变位于分水岭区、直径大于1.5cm。
重度根据病变的发病部位不同又分为两型,重度Ⅰ型:病变累及ACA或MCA的全部供血区域、或病变累及MCA的两个皮质支、或病变同时累及MCA的一个皮质支及深支、或病变同时累及两个大动脉供血区域;重度Ⅱ型:病变累及脑干或小脑,直径大于1.5cm。
按照引起脑梗死的病因及部位又可分为缺血性脑梗死、腔隙性脑梗死、分水岭性脑梗死、出血性脑梗死及外伤性脑梗死,本文主要来谈一谈脑梗死的主要类别。
1、病因及病理
缺血性脑梗死常见的病因包括动脉硬化所致的大血管或小血管狭窄、心源性栓子栓塞、血液病及血管炎等。缺血性脑梗死根据发病时间不同而分为超急性期(小于6小时)、急性期(6~24小时)、亚急性期(1~14天)、慢性期(大于14天)。
通常,脑组织功能的永久性破坏发生在发病后5~10分钟左右。当脑的血流量降低到12~20ml/(100g*min)时,会产生脑的血供不足;在4~6小时后,血脑屏障破坏,血管内容物渗出,产生血管源性水肿;缺血细胞的变化最早发生于4~6小时间,神经元细胞开始收缩,细胞更浓染,细胞质嗜伊红素易染;至24小时,细胞则发生完全性坏死。
发病后24~48小时,开始坏死吸收,吸收及修复过程由梗死区边缘向中心区逐渐进行,坏死组织被巨噬细胞和新生血管清除,最终形成由胶质瘢痕包围的残腔。如果梗死范围较大,则该部脑组织可因软化而空缺。发病后2~4周,坏死组织完全吸收,遗留下胶质残痕、脑软化后囊腔、萎缩的脑回和增宽的脑沟,脑室扩张。由于导致脑梗死的病因较多,所以梗死发生的部位、范围及病灶形态都有很大不同。
2、临床表现
通常起病前多有前驱症状,表现为头痛、头晕、眩晕、短暂性肢体麻木、无力。起病一般较缓慢,经几小时甚至1~3天病情达到高峰。
脑梗死的临床症状复杂,与梗死部位、责任血管的大小、缺血的严重程度、发病前有无其他疾病以及有无合并其他重要脏器疾病等有关,轻者可以完全没有症状,也可以表现为反复发作的短暂性的肢体瘫痪或眩晕;重者不仅可以有肢体瘫痪,甚至可以急性昏迷、死亡。
3、影像学表现
CT表现:脑梗死增强扫描强化以2~3周最明显,强化与血脑屏障破坏、过度灌注和新生毛细血管有关,当受损和不健全的血脑屏障逐渐修复和健全后,即不再出现增强表现。梗死早期,由于血流缓慢或急性侧支血管的建立,可出现皮质血管强化,有时可见责任血管管腔闭塞。起病48~72小时,病变区可出现皮质或脑回强化。
MRI表现:脑梗死主要表现为脑实质内扇形或楔形,并与血管供血分布一致的异常信号。脑梗死在各个MRI序列上的信号表现及占位效应的程度主要取决于梗死的时间(急性期、亚急性期和慢性期),此外,与侧支循环是否建立有关。

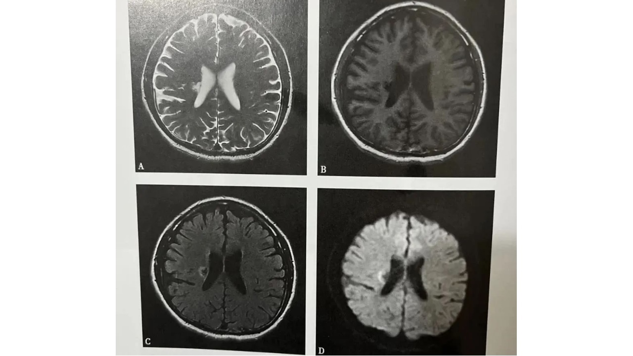
图1.图脑梗死(慢性期)
A~D(A.T2WI,B.T1WI,C.T2WI-FLAIR,D.DWI:右侧侧脑室体旁可见小片状长T1长T2信号灶,最大截面约12mmx10mm,边界尚清,FLAIR及DWI示病灶中心呈低信号灶,边缘呈稍高信号
腔隙性脑梗死(lacunarinfarction)是指脑的深穿支动脉及分支动脉硬化、闭塞,造成微小局灶的脑组织缺血坏死和软化,经吞噬细胞清除后坏死组织留下的空隙,常位于深部脑组织,如内囊、基底节区。腔隙性脑梗死的发生率约占脑卒中总数的19%,占缺血性卒中的20%。
1、病因、病理
腔隙性梗死与动脉硬化、高血压和小的动脉瘤等因素有关,高血压、糖尿病、吸烟、高脂血症也是重要的高危因素。腔隙性梗死发生后24小时内难以发现病灶,常见于发病的2~3天。由于病灶较小(一般小于1cm)坏死组织很快被巨噬细胞清除,第2~3天则可变为充满液体的残腔,且易多发。
2、临床表现
腔隙性梗死多见于高龄患者,年龄因素是其不可干预的危险因素,年龄每增加10岁其发病危险增加约1倍,50岁以前发病甚少,60岁以上发病骤增。腔隙性梗死起病缓慢,症状在12小时~3天发展至高峰,少数急性起病、病程波动。
临床上主要表现为肢体轻偏瘫;其次为构音障碍-手笨拙综合征,主要为中枢性面瘫、舌瘫、构音不清,精细动作欠清;部分患者可表现为单纯感觉障碍:偏身感觉异常、丧失。少部分患者症状均较轻、不典型,无明显肢体瘫痪、感觉缺失。
3、影像学表现
CT表现:腔隙性梗死多见豆状核、丘脑、尾状核和脑桥等深部核团内,可单发,亦可多发。CT上可表现为斑点状、小片状低密度灶,边缘清晰或模糊,无占位效应。
MRI表现:病灶多发分布于脑深部的基底核内,如豆状核、丘脑、尾状核和脑桥等。陈旧性梗死灶可表现为脑软化、疏松的基质中含水量增加和胶质增生,T1WI呈均匀的低信号,T2WI呈高信号,FLAIR-T2WI呈低信号、边缘有线样稍高信号环绕,DWI呈低信号。

图2.延髓脑梗死
A~D(A.T2WI,B.T1WI,C.T2WI-FLAIR,D.DWD):延髓左侧背侧可见斑条状等T1略长T2信号灶,边界不清,FLAIR及DWI呈高信号灶,最大截面约8mmx2mm,边界不清
分水岭(watershed)梗死是大血管闭塞导致脑梗死的一种特别类型,也称区间梗死、边缘带脑梗死、终端带脑梗死、低血流梗死;是指相邻两条动脉供血的边缘带局限性缺血损害造成的梗死,多发生在脑内大血管供血区边缘带或基底节区深穿小动脉供血区边缘带,偶见于小脑的两条动脉供血交界区的脑组织。常由于近端血管疾病或全脑低血灌注情况下,反射性导致远端血管床过度灌注,发生严重的脑组织损伤,死亡率较高。
根据病变发生的部位不同,可将分水岭梗死分为幕上分水岭梗死和幕下分水岭梗死,其中幕上分水岭梗死又可分为皮层前型、皮层后型、皮层下型。皮层前型梗死发生于大脑前动脉与大脑中动脉皮层支的边缘带;皮层后型梗死发生在大脑中动脉与大脑后动脉皮层支的功缘带或大脑前、中、后支动脉共同供血的皮层支边缘带;皮层下型梗死发生于大脑中动脉皮层支与深穿支的边缘带。
1、病因、病理
分水岭梗死的病因及发病机制一直存在争论,传统认为体循环低血压、低血容量、颈动脉狭窄或闭塞、微栓塞及后交通动脉的解剖变异等是其主要病因。新的观点倾向于不同发病机制共同发挥作用。
最近的研究结果表明,低脑灌注与微栓塞共同作用可发生分水岭梗死,且与颅内、外大动脉狭窄或闭塞密切相关。严重颈内动脉狭窄或闭塞性疾病和心脏手术可同时引起改变脑血流的方向和速度就会发生改变。易使微栓子到达血管分支末端,导致血流淤滞,低灌注又不易使微栓子被冲刷走,从而导致分水岭梗死发生。
2、临床表现
大部分分水岭梗死患者的年龄在50岁以上,而其中以60岁以上最多。临床表现因梗死部位不同而各异,皮层前型主要表现为偏瘫、经皮层型运动性失语、智能障碍等。皮层后型表现为偏盲、轻偏瘫、经皮层性感觉失语、皮层性感觉障碍、情感淡漠,记忆力下降。
皮层下型的病灶为多发性的,可表现偏瘫、失语、偏盲、智能减退等症状。因有多发病灶、症状和体征没有特异性,难以明确分类,统称皮层下型较为实用。幕下分水岭梗死多表现为轻度共济失调和意识障碍。
3、影像学表现
CT表现:分水岭梗死在超急性期及急性早期CT检查可无明显的异常征象。发病24小时后CT表现开始出现,与其他缺血性脑梗死的表现相同,梗死灶表现为低密度,但无明显占位效应,也可以表现为出血性脑梗死。梗死区白质内低密度影,呈楔形,宽边向外,尖角向内,或条形、类圆形,以顶枕部、额顶多见。灰质由于血液再灌注呈等密度影,增强后可出现皮质明显强化,还可表现为侧脑室旁深部白质低密度影,常出现在侧脑室体部周围或三角区。
MRI表现:分水岭梗死可分布于大脑前动脉与中动脉供血区间、大脑中动脉与后动脉区间、深动脉分支与大脑中动脉区间及小脑上动脉、后下动脉和前下动脉区间。皮层前型病灶多位于额、顶交界区,皮层后型病灶多位于顶、枕叶或顶、枕、颞叶交界区,皮层前、后两型MRI表现为片状异常信号区,呈楔形,尖端朝向脑室,底朝向脑膜。皮层下型病灶多在侧脑室额角后外侧方、外囊及基底节区,呈条索状、三角形或椭圆形,常多个病灶相连。

图3:分水岭脑梗死
静脉性脑梗死(cerebralvenousinfarction,CVD)是指静脉性因素导致脑组织缺血、缺氧而发生坏死、出血、软化,形成梗死灶的一类疾病。脑静脉窦包括浅、深两组。浅组包括横窦-乙状窦-上矢状窦,主要引流同侧或双侧大脑皮质及皮层下静脉血;深组主要为大脑大静脉-直窦-下矢状窦,主要引流双侧大脑深部白质、灰质核团、丘脑及脑干静脉血。故静脉性脑梗死部位及形态与其引流的静脉窦血栓形成部位一致,而与该部位动脉供血部位和形态完全不同。
1、病因、病理
静脉性脑梗死的病因目前尚未完全明确,由于其与脑静脉血栓关系密切,因此脑静脉血栓形成的危险因素亦与静脉性脑梗死相关。
脑梗死主要的病理生理基础是脑静脉循环紊乱导致颅内静脉高压,进而造成静脉源性脑出血、脑梗死。此外,各种原因引发的血液高凝状态,低颅内压引起的血管壁牵拉、变形、扩张以及血液淤滞均可诱发脉窦或皮层静脉血栓形成、血管栓塞。
脑静脉血栓会导致血管内充血,而静脉充血会导致脑血流量减少,于脑血流量下降,继而脑能量供应不足,血脑屏障破坏,出现细胞毒性脑水肿。若静脉完全闭塞,则静脉压进一步升高,可导致静脉破裂、出血、坏死。
2、临床表现
静脉性脑梗死临床表现依其发生部位及病因不同而复杂多样,但多不具有特异性,可有头痛、恶心、呕吐、复视、视力下降、失语、短时记忆丧失、胸痛、癫痫发作、单侧躯体麻木、舌麻木、听力障碍等急性期主要表现为颅内压增高症状、局灶性神经功能缺损、癫痫发作及意识障碍等;慢性期表现更加隐匿复杂。小脑和脑干静脉性脑梗死一般呈急性发作,快速进展至昏迷和死亡,少数患者亦可呈亚急性或慢性病程,表现为脑积水相关症状。
3、影像学表现
CT表现:静脉性脑梗死可表现为弥漫性脑水肿,静脉引流区内的双侧或单侧性梗死或(和)出血;静脉窦内因血栓形成而呈高密度“带征”;增强后因受累静脉内血栓残留或窦壁强化而出现“δ”征,有时可见异常静脉侧支。
MRI表现:静脉性脑梗死因静脉窦血栓形成部位不同而有不同的形态和信号特点。
梗死灶可单发或多发,范围大小不一,形态不规则,呈斑片状或脑回样,边界不清。上矢状窦血栓形成所致脑梗死多见于额、顶、枕叶,可为双侧多发病变,横窦-乙状窦闭塞所致脑梗死多见于同侧颞叶或小脑;大脑大静脉-直窦血栓所致脑梗死更具特征性,常表现为双侧基底节区、丘脑及脑干对称性病变,边界清楚。

图4.左侧额叶静脉性脑梗死男,24岁,头痛5天,发作性肢体抽搐、意识丧失2天。A~D(A.T2WI,B.T1WI,C.T2WI-FLAIR,D.DWI):左侧顶叶可见片状长T1长T2信号灶,内部可见条状短T1短T2信号灶。E.MRV,上矢状窦部分未见显影
出血性脑梗死hemorrhagiccerebralinfarction,HD)是其中一种常见的类型,多是由脑梗死后血管远端缺血性损害、通透性增高,当闭塞血管再通时血液渗出所致。
1、病因、病理
许多研究表明出血性脑梗死是由于梗死区域内侧支循环建立、局部血管再通及梗死早期局部缺血缺氧所致。目前发生机制尚未完全清楚,多数认为与塞血管再通、再灌注损伤、侧支循环建立等因素有关。病理上出血性脑梗死有2种类型:毛细血管型和小动脉型,其发病机制及预后有所不同。
2、临床表现
出血性脑梗死的临床表现与病变部位有关,常表现为头晕、头痛、恶心、呕吐、发音困难、眼球震颤、偏盲、肢体感觉麻木、一侧肌力不同程度减弱或瘫痪、共济失调、意识模糊、昏迷等。
3、影像学表现
CT表现:CT扫描表现为在原有椭圆形、扇形、楔形或不规则形的低密度梗死区内混杂形状不规则、密度不均匀的点状、斑片状、环状、条索状或团块状的高密度影像。
MRI表现:脑梗死后出血的形态与脑梗死的部位及出血的机制有关。出血可位于梗死区周围皮层和(或)皮层下白质,主要为脑回状、斑片状;亦可位于梗死区内部或边缘,表现为点状、斑片状、线状,无占位效应。

图5.左侧额叶脑梗死并出血
A~D(A.T2WI,B.T1WI,C.T2WI-FLAIR,D.DWI):左侧额叶可见片状等长T1长T2信号灶,最大截面约15mmx16mm,局部可见斑条状短T1信号灶
脑梗死发病起病急,多在休息或睡眠中发病,其临床症状在发病后数小时或1~2天达到高峰。神经系统的症状与闭塞血管供血区域的脑组织及邻近受累脑组织的功能有关,这有利于临床工作者较准确地对其病变位置定位诊断。
脑梗死属于急症,是一个高致残率及高致死率的疾病。本病的治疗原则是:争取超早期治疗,在发病4.5小时内尽可能静脉溶栓治疗,在发病6-8小时内有条件的医院可进行适当的急性期血管内干预;确定个体化和整体化治疗方案,依据患者自身的危险因素、病情程度等采用对应针对性治疗,结合神经外科、康复科及护理部分等多个科室的努力实现一体化治疗,以最大程度提高治疗效果和改善预后。
参考文献:
李联忠张忻宇.颅脑MRI诊断与鉴别诊断[M]人民卫生出版社,2014:163-182.
[声明:本网站所有内容,凡未注明来源为“转载”,版权均归巢内网所有,未经授权,任何媒体、网站或个人不得转载,否则将追究法律责任,授权转载时须注明“来源:巢内网”。本网注明来源为其他媒体的内容为转载,转载仅作观点分享,版权归原作者所有,如有侵犯版权,请及时联系我们]
